ホーム ≫ 診療科・各部門 ≫ 診療支援部門 ≫ 病理研究検査科
病理研究検査科 / 概要
診療支援部門 「病理研究検査科」 のご案内です。 当科の概要、診療の内容、先生の紹介や実績などをご案内いたします。当科メニューの中からご覧になりたい項目をクリックすると、詳細ページへリンクします。
概要
当科では、どのような検査をしているのか紹介いたします。
【病理組織診】
1 〜 4の種々の検体を顕微鏡標本にして病理診断を行います。
1. 生検(biopsy)
胃・大腸内視鏡検査などで病変の一部(小さな組織)を採取し、良悪性を判定します。
2.切除生検(excisional biopsy)
皮膚などの病変の全体を採取して、良悪性や病変の由来を推定します。
写真は乳腺針生検組織の顕微鏡写真です。外来で太めの針を使用して腫瘍の一部を採取し、診断します。悪性であればさらに特殊な染色を行い、その結果から術前治療の選択肢を拡げます。
3.手術による摘出(surgical excisionまたはresection)
手術により、病変を含めて提出された組織を詳細に検索します。
4.迅速診断(frozen section diagnosis)
手術中に出来るだけ早く組織標本を作製し、病理診断を下します。手術の方向性を決定する情報を臨床医に提供します。当院は尾道市内で唯一、手術中の迅速診断を行っている病院です。手術中に提出された検体に対し、リアルタイムで診断を行う事により、患者様への治療に貢献しています。
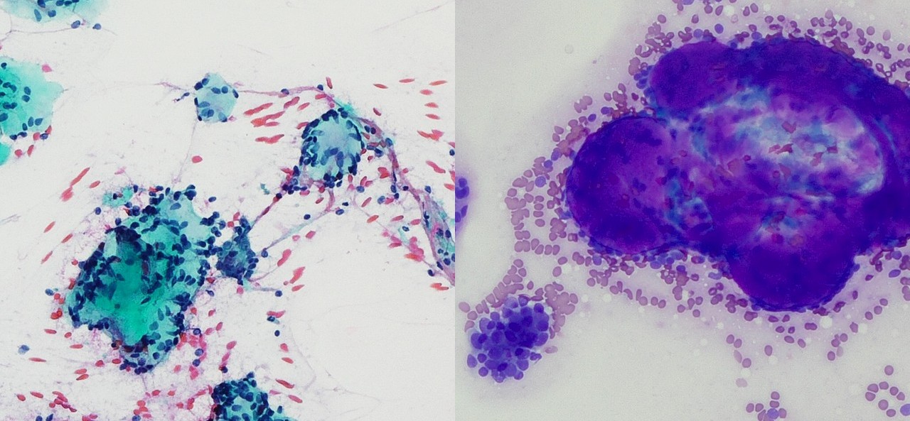
【細胞診】
尿、喀痰、子宮頸部などから採取される細胞を良性か悪性か、感染症の原因である細菌や真菌が存在するか等を顕微鏡標本にして診断します。
【病理解剖】
病気で亡くなられた患者さんの全身を検索を行い、病理学的に検討し、今後の診療などに役立てています。

看護科のご案内
- 看護科ページTOP 尾道総合病院看護科での活動内容とご報告です。専門学校情報など。
がん診療連携拠点病院
- 尾道総合病院がん情報 がんについての説明やデータ等、がんについての情報です。
がん診療連携拠点病院
- 膵がんプロジェクト すい臓・肝臓がん教室の資料
論文発表クリックで
メニューOPEN
